안녕하세요. 이웃 여러분, 그리고 방문객 여러분, 학동역 이비인후과, 용세이롬 이비인후과입니다. 오랜만이네요.
오늘은 편도염에 이어서 편도염의 합병증에 대해 알아 보도록 하겠습니다. 만약 편도염을 치료하지 않고 그냥 방치하면 큰일이 날 수도 있습니다.편도염 관련 합병증 중에서 가장 중요한 것이 편도선 주위 농양이군요. 오늘은 편도 주위 농양뿐만 아니라 여러 가지 편도염의 합병증에 대해 이야기하겠습니다.
편도염 합병증→편도염 합병증은 여러 가지가 있지만 크게 두 가지로 나눌 수 있습니다. 화농성 합병증과 비화농성 합병증입니다. 화농성 합병증이란 쉽게 말해서 고름이 쌓이는 합병증을 말합니다. 여기에는 편도 주위 논양, 부인 두 농양, 인두 후 농양 등이 있습니다. 비화농성 합병증에는 성홍열, 급성 류마티스열, 연쇄상구균성 사구체신염 등이 발생할 수 있습니다. 각자에 대해서 얘기를 나눠보도록 하겠습니다.

편도선 삼출물이 생기고 발열, 인후통 등을 동반하는 질환이 급성 편도염입니다.화농성 합병증=편도 주위의 여러 공간에 고름이 쌓이는 단계 편도선 주위농양 편도선 주위농양은 화농성 합병증 중에서 가장 흔하며 가장 중요한 합병증입니다.사실 편도 주위 농양은 이전의 포스팅에서도 취급을 했던 것으로 알고 있습니다만. 좀 더 객관적인 데이터를 가지고 이야기를 해보겠습니다.대략적인 편도 주위 농양에 대해서는 링크가 되어 있으므로 확인해 보십시오.
안녕하세요~ 이웃 여러분~ 학동역 대표 이비인후과 연새롬 이비인후과 입니다.오늘도 날씨가 좋지 않네요.blog.naver.com 편도주위농양은 적절한 치료를 받지 못한 만성 편도염 환자나 재발성 급성 편도염 환자로 편도선(편도가 놓여 있는 공간)의 염증이 편도피막 밖으로 진행되어 편도주위 공간에 농양이 축적됨으로써 발생합니다. 또한 편도와 근육과 편도피막 사이에 있는 편도 주위 작은 침샘(타액선)의 2차 감염이 원인이 될 수 있습니다.
모든 연령에서 발생할 수 있는데 청소년과 젊은 성인 분들이 많습니다. 감염의 대부분은 편도선의 상부에서 발생하지만 일부는 편도선의 중간 부위와 하부에서 발생합니다. 원인균은 혐기성과 호기성 균의 혼합 감염입니다. 전형적인 증상으로는 발열과 한쪽 목의 통증, 같은 방향의 귀의 통증 및 개구장애(입이 열리지 않음) 등이 있습니다. 입이 열리지 않는 것은 지난 번 포스팅에서도 말씀드렸듯이 농양의 형성과 여증으로 인한 익돌근 침범의 결과입니다. 심해지면침을못삼키게되서뜨거운감자를먹을때내는소리를내게되는데,이것을hotpotato발음이라고해서이런소리를내게됩니다.
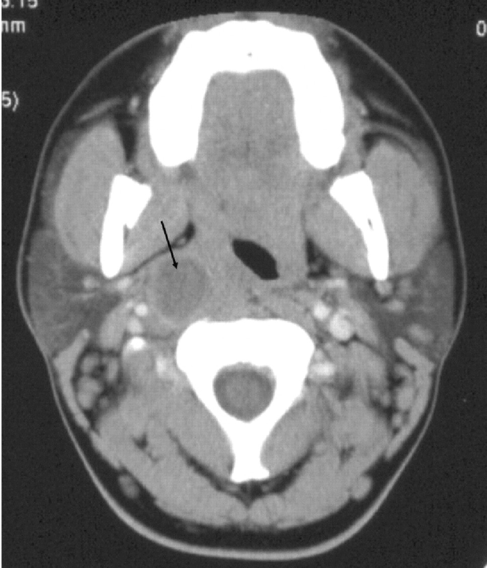
일반적으로 편도 주위 농양에 대한 진단은 보통 임상적으로 실시가 됩니다. 진찰 시 정상으로 보일 수도 있지만, 편도가 안쪽으로 전위되어 목젖이 반대쪽으로 밀립니다. 일방성으로 인해 위턱 등이 붓는 경우도 있고, 때로는 기도 폐색을 일으킬 수도 있습니다. 편도 주위 농양은 심해지면 외부의 인두 공간이나 경동맥을 싸고 있는 막까지 파급될 수 있습니다. 편도 주위의 봉와직염으로 농양으로 오인될 수 있으므로 CT 촬영에서 감별을 해야 합니다.

편도 주위 농양은 편도 주변부가 붓는 것으로 인해 목을 눌리게 되어 편도선이 가운데로 밀리게 됩니다.
초기에 입원하여 치료해야 하는데, 수액을 충분히 공급하고 진통제 및 포도상구균 및 구강 내 혐기성균에 효과가 있는 항생제를 투여해야 합니다. 농양이 형성되면 절개·배농이 되어 버립니다. 주사기로 뽑아내는 세침흡인이나 절개배농은 성공률 90%를 넘지만 1015%에서 농양이 재발합니다. 세침 흡인은 농양의 절개 부위의 확인과 검체를 얻을 때 사용하고 편도선이 팽창한 곳이나 헐렁한 곳에서 합니다. 세침 흡인으로 고름을 확인한 후 수술용 칼을 사용하여 점막을 절개하고 끝이 둔한 겸자를 이용하여 펼쳐 농양을 최대한 많이 배출합니다.

편도 농양시 세침 흡인을 통하여 치료 및 진단이 가능하며 절개 배농 이정표를 세울 수 있습니다.
편도염의 과거력이 있는 경우, 특히 향후 편도선 감염의 재발 가능성이 높은 젊은 환자에서는 발견 즉시 편도선 절제술을 실시하는 것이 도움이 될 수도 있습니다. 소아의 경우 부분 마취 하에 세침 흡인과 외과적 배농이 어렵기 때문에 편도 절제술을 할 수도 있습니다. 이 경우 마취 유도와 기관 삽관 시에 농양이 파열되거나 흡인이 일어나지 않도록 주의해야 합니다. 재발성 감염이나 편도주위농양의 과거력이 있는 환자의 경우 절개배농 후 4~12주 후에 편도절제술을 시행합니다.
편도 주위 농양 절개 배농술=편도 주위 농양 시의 위치가 파악되면 마취를 해서 절개 후에 고름을 짜냅니다.부인두 농양부 인두 공간은 편도를 둘러싼 공간인 상인두 수축근을 빠져나와 옆으로 침범했을 경우 생기는 농양입니다. 성인에서는 치성 감염에 의한 부인 두농양이 많지만, 소아에서는 편도염 합병증이 되는 경우가 많습니다. 증상은 편도주위농양과 거의 같으나 더 넓어지는 상태에서 척추주위근육까지 침범하여 경부에 경직될 수 있으며 경동맥막을 따라 종격동까지 갈 수 있는 것으로 알려져 있습니다. 임상적으로 편도 주위 농양과 혼동될 수 있어 조영제를 사용한 CT 촬영이 필요합니다.

편도선에서 더 나아가 상인두 수축근을 지나가면 바로 안쪽 인두 농양이 됩니다. CT를 실시하여 감별진단이 이루어집니다.
조기에 집중적인 항생제 요법과 수액 보충이 필요하며 수술적인 접근이 요구되는 경우도 많습니다. 농양이 경부 대혈관과의 상관 관계에 따라서는 외부에서 절개하거나 내부에서 절개하기도 합니다.

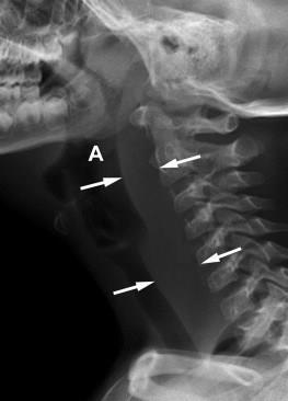
경동맥 등과의 위치 관계에 따라 접근하기 쉬운지를 보고 구강 내로 접근하여 배농할지 목 바깥쪽을 절개하여 접근할지 결정합니다.인두후농양 인두후공간은 척추의 전근막과 목의 후방부인 인두벽근막과 식도 사이의 공간입니다. 인두 후 농양은 일측성으로 발생하며 종격동에까지 염증이 파급되는 중요한 경우가 됩니다. 2세 이하의 소아에게 흔히 발생하며, 발열, 연하장애, 발성장애, 침, 호흡곤란이나 경부경직 등을 호소하게 됩니다. 신체 검사를 통해서는 한쪽 인두 후벽 종창을 관찰할 수 있습니다. 그러나 이와 같은 전형적인 증상은 소아의 10% 미만에서 관찰이 됩니다. 일반 소아에게 흔히 있는 합병증이므로 방사선 검사상의 협조가 어렵고 CT 등으로 진단하게 됩니다. 역시 마찬가지로 입원 및 수술적 치료를 주로 하지만, 주로 경구절개로 배농을 하지만 농양이 너무 아래로 내려간 경우에는 경부접근으로 수술이 이루어집니다.

인두 후 농양은 드물지만 x선 상에서도 기도 후방부 연조직 음영이 증가한 경우 의심해 볼 수 있습니다.비화농성 합병증으로 고름이 쌓이는 합병증이 아니라 전신 질환과 관계가 있다는 생각입니다.상기도와 편도, 치아를 포함한 구강은 항상 세균에 누출되어 있기 때문에 표면 항원성의 변화가 일어날 수 있습니다. 표면 항원성이 바뀌면 면역 감시 시스템이 자극을 받아 자가 항체가 생산됩니다. 편도선에서 생성된 자가 항체는 혈관으로 들어가 체순환계를 통해 신체 각 부위를 순환하고 원격부위의 표면항원에 침착하게 항원항체 반응을 일으킵니다. 이 경우 조직손상이 발생하여 2차질환이 발생합니다. 한편 세포매개성 면역반응으로 인해 한쪽 표면의 변형된 상피항원에 의해 감작된 림프구가 세포독성으로 인해 원격부위에서 2차 질환을 일으킬 수 있습니다. 이러한 만성이든 급성이든 염증이 있는 편도로 인해 피부, 관철, 뼈, 신장 등의 2차 질환을 유발합니다.
급성 류머티즘열 급성 류머티즘열을 A군 베타 용혈성 연쇄상구균의 감염으로 인한 자가 면역 반응으로 상기도, 특히 편도선 감염 후 약 0.3%에서 발생합니다. 피부 감염 후에는 발생하지 않습니다. 류마티스열의 증상은 편도선 초기 감염 후 약 1~3주 동안 나타납니다. 주로 심장, 관절, 중추신경, 피부 등에 이환되며 급성기에는 이동성 다발관절염, 발열, 심내막염에 의해 발현되며 심내막염은 사망에 이를 수 있습니다. 페니실린 치료로 예방할 수 있지만, 예방 효과가 없는 경우는 편도 절제와 아데노이드 절제술을 실시합니다.

류마티스 관절염, 심내막염, 피부 발진 등 항체 침착 등의 자가면역 반응으로 다양한 증상을 유발합니다.성홍열 성홍열은 외독소를 생산하는 연쇄상구균의 상기도 감염에 2차적으로 발생합니다. 급성기에는 홍반성 발진, 인후통과 함께 심한 경부 림프절병증이나 발열 등이 나타납니다. 편도와 인두는 심하게 충혈되어, 연수개와 목뚜껑에 출혈 반점이 점재하고 점액 농성 삼출액이 편도, 인두 등을 덮습니다. 첫 번째 혀는 붉게 부은 유두와 함께 두꺼운 흰 막으로 덮여 있고, 2~3일이면 흰딸기 혀가 됩니다. 4~5일째에는 혀의 막이 벗겨져 부드러워지고 선홍색 유두가 돋보이는 붉은 딸기 혀가 됩니다. 성홍열은 인후 배양으로 진단하고 역시 페니실린으로 치료를 하는데요.

소고열은 혀가 딸기처럼 변화하는 “딸기 혀”를 특징으로 합니다.
연쇄상구균성 사구체신염·연쇄상구균성 사구체신염은 인후 감염과 피부 감염 후 모두 발생할 수 있습니다. A군 베타 용혈성 연쇄상구균 중 신장염 유발균주에 노출된 후 약 24%에서 발병하며, 평균 발병 연령은 7세이며, 남아에게서 자주 발생합니다. 임상적 질병과 불현성 감염은 대략 1:4 정도로 추정됩니다. 전형적인 환자는 연쇄상구균에 감염된 후 1~2주 후에 급성 사구체신염으로 발전합니다. 페니실린 치료가 발병률을 낮추지는 못하며 항생제 치료가 사구체신 겸 자연 경과에 영향을 미친다는 증거는 없습니다. 감염의 근원을 제거하기 위해 편도 절제가 필요하게 될 수도 있지요.

편도염으로 발생한 면역반응에 의한 면역복합체가 신장에 축적되어 사구체신염을 유발합니다이외에도 수족저농포증, IgA신병증, 흉늑쇄골과골증 등이 편도염의 2차 비화농양 합병증으로 알려져 있으나 면역반응에 의한 침착 등으로 발생하는 것으로 알려져 있습니다.
오늘은 편도염 합병증에 대해 좀 알아봤는데요.편도염을 제대로 치료하지 못했을 경우 주변에서 흔히 볼 수 있는 편도주위농양에서부터 각종 신장질환 및 심장질환까지 유발할 수 있으니 유의하시기 바랍니다. 항상 조기에 진단하고 치료해야 한다는 점 잊지 마세요.
연세EROM이비인후과는 의료진의 자문을 통한 운영으로 인터넷의 잘못된 정보와 달리 정확한 정보를 전달해 드리고 있습니다.
직접 내원하시면 자세한 상담과 치료가 가능합니다.용새롬이비인후과는 학동역 10번 출구 바로 앞에 위치하고 있습니다.감사합니다서울특별시 강남구 학동로 215405,406,407호