안녕하세요. 저는 이비인후과 전문의 우원근입니다.
편도결석에 대해서 가장 궁금한 점을 정리해 보았습니다.
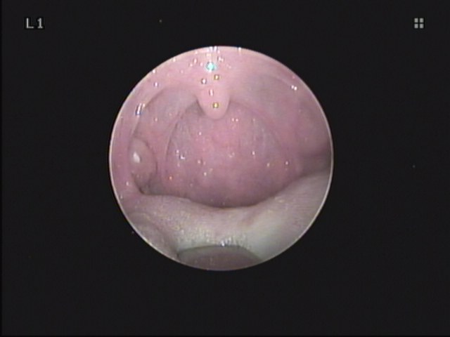
Q 편도결석은 무엇입니까?편도결석이란 구강 양쪽에 깊숙이 위치한 구조물, 편도선 안에 있는 얇고 깊은 홈에 음식물 찌꺼기나 각종 분비물이 쌓여 돌처럼 단단해진 물질을 말합니다. 실제 돌은 아니지만 돌처럼 보일 수 있고 하얗게 보이는 노랗게 보이는 물질입니다. 양치질이나 재채기를 할 때도 튀어나와요.
Q 편도결석의 증상은 무엇입니까?가장 흔한 증상은 구취, 즉 구취입니다. 양상은 다양하지만 본인도 느끼지 못하는 경미한 구취에서 주변 사람도 불쾌해지는 심한 구취가 있습니다. 두 번째 증상은 목의 이물감입니다. 주로 목 양쪽에 이물감이 있다고 느끼지만 목 중앙에서 이물감이 있을 수도 있습니다. 심지어 편도염으로 인한 통증을 유발하기도 합니다.
Q 편도결석은 어떻게 진단합니까?실제 결석이 발견되면 간단하게 진단됩니다. 육안으로 바로 보이는 한쪽 결석도 있고, 후두 내시경으로 관찰되는 깊은 결석도 있습니다. 진단은 매우 간단합니다.

Q 편도결석은 어떻게 치료합니까?편도결석은 나쁜 병에 걸리거나 암에 걸리지 않아요. 따라서 증상이 없는 편도 결석은 단순한 관찰만으로 충분할 것 같습니다. 구취나 이물감이 있다면 이비인후과에서 진단 후 쉽게 제거할 수도 있습니다. 그러나 근본적인 해결책은 되지 못하며, 근본적인 치료는 편도선 전체를 떼어내거나 부분적으로 떼어내는 수술입니다.
Q 편도 부분 절제술은 어떻게 하나요?결석을 직접 확인하셨다면 당일 수술도 가능합니다. 진찰을 받고 수술을 받을 수도 있습니다. 수술 당일 오전부터 금식을 하고 내원하세요. 수술은 부분마취로 진행되며 약 15~20분 소요됩니다. 통증이 심하지 않습니다. 수술 당일 6시간 입원 후 퇴원해 주시기 바랍니다. 특별한 문제가 없으면 내원하지 않아도 됩니다.
Q 수술 후 관리는 어떻게 해야 하나요?수술 후 6시간 동안 입원 후 대피를 하면 바로 일상 생활이 가능합니다. 다만 수술 당일은 너무 뜨겁거나 자극적인 음식은 피하고 아이스크림 같은 차갑고 부드러운 음식은 도움이 됩니다. 통증이 있는 경우에는 얼음물로 가글을 하는 것이 도움이 됩니다.

Q 수술 후유증이나 재발률은 어떻게 됩니까?부분 절제술은 전체를 제거하는 것과 달리 심한 출혈과 같은 중요한 합병증이 없는 안전한 수술입니다. 수술 특성상 완전하지 않을 수 있지만 80% 이상의 환자들은 만족하셨다.만약 재발이 되더라도 필요한 부분을 다시 수술하면 더 좋은 결과를 얻을 수 있습니다.
Q 편도 결석 제거와 수술 비용은 어떻게 됩니까?각종 비용은 댓글로 남겨주시면 알려드리겠습니다.
감사합니다
목동 하나비과의원 tonsilstone.co.kr