재발방지법 편도암 초기증상

음.

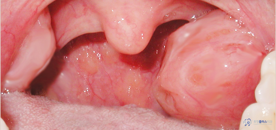
음식을 삼키고 갑자기 목이 아프거나 통증을 느낀 적이 있습니까? 보통 편도선이 부었을 때 흔히 일어나는 경우입니다.편도선은 호흡도 하고 음식섭취를 해주는 역할을 합니다.편도암이 생기면 어떻게 될지 생각해 보셨어요? 오늘은 편도암의 초기 증상에 대해 몇 가지 자세히 알려드리는 시간을 가지려고 합니다.

편도암은 흡연과 음주로 인해 가장 발병하기 쉽다고 합니다우선 첫 번째 증상으로는 아까 말씀드린 대로, 음식을 먹을 때 편도선에 통증을 느끼는 경우입니다.

뭔가 먹으면 목구멍과 식도에 떨어지게 되어 있는데, 이쪽의 통증을 느끼거나 중간에 장애가 있는 것 같은 느낌이 들면 편도암이 의심됩니다.이런 증상이 있을 때는 우선적으로 음식량은 줄이고 카페인이나 흡연, 음주는 되도록 피하는 것이 좋다고 합니다.

두 번째 편도암의 초기 증상치고는 인두에 물질이 낀 것 같은 느낌이 들 때입니다.인두와 식도의 경계선에 위화감이 있다면 편도암을 의심해 볼 필요가 있습니다.

세번째,호흡이갑자기어려워졌을때도고려해야돼요.종양이 위치하게 되면 덩어리가 생기는데, 그 때문에 공기가 잘 흐르지 않게 되어 호흡이 곤란해집니다.

숨이 갑자기 차거나 하는 경우에는 증상을 의심해 볼 필요가 있습니다.편도암은 자가진단을 할 수 없기 때문에 작은 증상이 나타나더라도 아무런 사전 예고 없이 의심해 보아야 합니다.

마지막으로 편도암의 초기 증상으로 손은 목에 응어리가 생겼을 때입니다목에 응어리를 만져 버리면 편도암일지도 모릅니다만, 특히 연령이 40대를 넘으면 심각한 상황일지도 모르기 때문에, 그 경우는 반드시 병원에서 진찰을 받아 주십시오.

그러면 편도암의 초기 증상이 나타났을 때의 치료 방법에는 어떤 것이 있을까요? 가장 보편적인 방법으로는 수술을 해서 덩어리를 제거하는 방법이 있습니다.또한 초기 편도의 경우 방사선 치료로 개선되기 때문에 방사선 치료를 하는 방법도 있다고 합니다.그런데 치료를 하고 나서도 편도암은 부작용이 상당히 많은 것이군요.

그래서 재발하지 않도록 면역력을 잘 관리하고 수술 직후에도 예방이 가장 중요하다고 합니다.그 방법으로는 도수 치료가 있습니다만, 이것은 예방뿐만 아니라 재발을 방지해 주기 때문에 꾸준히 받아서 편도암에 걸리지 않도록 하는 것입니다.그 외에도 한약 치료 등 치료를 하는 방법은 많다고 합니다.

오늘은 이렇게 편도암의 초기 증상과 치료와 예방법에 대해서도 알아보았으니 도움이 되셨으면 좋겠습니다.만약 이 증상에 해당이 된다면 조기에 병원을 방문해 주시기 바랍니다.투명 플러스 의원은 일반 진료도 실시하고 있기 때문에, 내원하여 정확한 원인에 대해서도 조사해 주십시오.인천광역시 부평구 경원대로 13833~5층 원장님 자기소개 부탁드립니다. 안녕하세요. 투명플러스치과 대표원장 윤성회입니다. 저는 2002년 02월에… blog.naver.com

error: Content is protected !!