안녕하세요. 지웰DS치과입니다. 이갈이가 있을 때 일어날 수 있는 문제점에 대해서는 여러 번 글을 올렸습니다. https://blog.naver.com/gwellds/222815373475
![]()
이갈이 구강질환 1. – 청주이갈이 청주악관절 안녕하세요 지웰DS치과입니다. 이갈이로인해생기는문제에대해서설명해드리도록하겠습니다.blog.naver.com
이갈이 구강질환 1. – 청주이갈이 청주악관절 안녕하세요 지웰DS치과입니다. 이갈이로인해생기는문제에대해서설명해드리도록하겠습니다.blog.naver.com

이를 많이 해서 그런지 이가 시려요.
20대 남자분이세요. 교정이 끝난 지 몇 년이 지났다고 해서 잘 때 이를 가는 이야기를 들었다고 합니다. 아침에 일어나면 턱 주변과 근육 쪽이 불편하다고 해서 치아가 전체적으로 시리는데 특히 양뿔니가 굉장히 시리거든요.양치질을 할 때 칫솔이 닿아도 아파요.입을 벌리고 닫을 때는 통증이 없습니다. 라는 주소로 내원했습니다.
![]()
파노라마 X선상에서 전체적으로 치아가 평탄해 보이는 양상을 가지고 있으며, 아래턱각이 직각에 가까운 형태로 저작력이 좋다고 판단됩니다.
왼쪽 송곳니 부분 깊숙이 내려간 잇몸부 마모가 시린 증상을 일으키는 것으로 보입니다. 이를 갈면서 측방력을 많이 받아 굴곡이 생기고 그쪽에 시린 증상이 심한 것으로 판단됩니다.
![]()
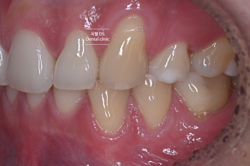
교정을 하고 구치부의 신장 관계는 나쁘지 않지만 전반적으로 협측 교두가 상당히 마모된 모습입니다.
교정을 하고 구치부의 신장 관계는 나쁘지 않지만 전반적으로 협측 교두가 상당히 마모된 모습입니다.
![]()
아래턱 제2대구치부의 모든 치아에 복구 치료가 되어 있습니다. 복구된 골드 인레이 마모가 보였고 왼쪽 위턱 제2대구의 골드 인레이는 탈락했습니다.아마 비기능적인 야간 이갈이로 인해 가장 힘을 많이 받는 제2대구치 부위가 우식에 취약했을 것이고, 그로 인해 수복물이 들어갔을 것이고, 이갈이가 지속되면서 수복물이 마모되어 탈락한 것이 아닌가 의심됩니다.
하악전치절단 및 상악전치설면의 마모도 볼 수 있습니다.
![]()
야간 비기능적인 이갈이로 인해 생기는 문제점을 해결하기 위해 보톡스와 이갈이장치를 제작하기로 하였습니다.
야간 비기능적인 이갈이로 인해 생기는 문제점을 해결하기 위해 보톡스와 이갈이장치를 제작하기로 하였습니다.
이갈이 장치를 사용하여 개의 치유도를 만들고 과도한 측방력으로부터 턱관절 안정과 치아 치아 마모를 막기로 하였습니다. 생각보다 많은 분들이 이를 갈고 계세요. 턱관절의 불쾌감이나 시린 이 증상이 간의 이갈이와 관계가 있을 수 있습니다. 정확한 진단을 받아보세요. 50m 네이버 더보기 / 오픈스트리트맵지도데이터x 네이버 / 오픈스트리트맵지도컨트롤러 범례부동산대로읍,면,동시,군,구시,도국지웰DS치과의원 충청북도 청주시 흥덕구 대농로 43 지웰시티몰 3층 예약지웰DS치과의원 충청북도 청주시 흥덕구 대농로 43 지웰시티몰 3층 예약지웰DS치과의원 충청북도 청주시 흥덕구 대농로 43 지웰시티몰 3층 예약