안녕하세요^^
대전, 세종, 충청권 최초의 안과 전문 동물병원인 말군눈동물병원입니다.
오늘은 녹내장에 대해 알아보겠습니다.# 녹내장(Glaucoma)

눈 속에서 안방수라는 액체가 혈액과 같은 역할을 해줍니다.
이러한 안중수의 생성과 방출에 문제가 생겨 안압이 올라가 망막 및 시신경을 압박하여 통증 및 시력 저하를 일으키는 질환은 녹내장이라고 합니다.녹내장의 분류 녹내장은 원인에 따라 일차적, 2차적으로 나눌 수 있습니다.일차적으로는 대부분 유전적 원인에 의한 것입니다.안방의 물 방출에 문제가 생기는 겁니다.
안방수가 나오는 길목에 문제가 생김으로써 대부분의 개는 일차적 원인에 의해 녹내장이 발생합니다.
특히 푸들, 코카스파니엘 등이 그렇습니다.
반면 눈 안쪽의 다른 이상, 즉 안내염, 백내장, 수정체 탈구, 안내종양 등으로 인해 발생하는 녹내장을 이차적이라고 합니다.대부분의 고양이의 녹내장은 이러한 2차적 원인에 의해 발생합니다.
분류가 중요한 이유는 녹내장의 치료와 관리 방법이 바뀔 수 있기 때문입니다.녹내장 증상의 대표적으로 안압이 올라가 시력 저하와 통증을 일으킵니다.또한 충혈이나 각막 부종, 눈곱 등이 나타납니다.

충혈과 각막이 하얗게 부어 있는 전형적인 녹내장을 말합니다.
아이에 따라 구토, 식욕이나 활력 저하, 혹은 잠을 많이 자거나 눈을 만지려고 하면 씹으려고 합니다.녹내장 진단을 통해 안압과 증상(충혈, 시력저하, 각막부종 등)을 확인합니다.


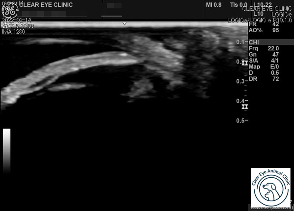
오른쪽 다리 거울과 초음파를 통해 눈 방수 배출 경로를 확인합니다.

또한 OCT를 통해 시신경 상태도 확인합니다.
또한 녹내장의 원인을 반드시 확인해야 합니다.수정체 탈구, 안내염, 안내종양 등의 유무 등을 확인합시다.앞에서 말한 것처럼 원인에 따라 치료 방법이 다르기 때문입니다.녹내장의 치료나 관리 녹내장은 응급 질환이므로 안압이 올라가 있다면 안압을 낮출 필요가 있습니다.
안약 점안, 이뇨제 처치, 안내수 천자 등으로 즉시 안압을 떨어뜨려야 합니다.



그 후 안약으로 관리해주세요. 만약 안약으로 안압 관리를 할 수 없다면 시력 유무에 따라 외과적인 치료가 필요합니다.
밸브 삽입, 레이저 시술, 의안 삽입, 안내 주사 등이 그것이지요.안과 진료는 예약제로 운영되고 있습니다.내원 전 꼭 미리 전화예약 부탁드립니다.
월요일 ~ 토요일 : 오전 10시 ~ 오후 7시 점심시간 : 오후 1시 ~ 오후 2시 목요일, 일요일 : 정기휴무
042-823-7555 카카오톡 ID:thecleareye
보다 높은 질의응답을 위해 안과 이외의 과목의 진료나 호텔, 미용, 용품 판매 등은 하지 않습니다.대전광역시 유성구 도안대로 591205호
