
경식도 심장초음파로 관찰한 대동맥 내벽에 붙은 동맥경화반이다.일부는 실타래처럼 움직였다.

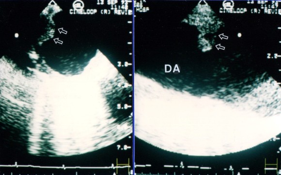
흉부하행 대동맥의 이면성 심애코-좌측은 단축상 1012시 방향으로 동맥경화반을 볼 수 있다.오른쪽은 장축상으로 막대 모양의 동맥경화반이 보인다.

경식도 심장초음파로 관찰한 대동맥 내벽에 붙은 동맥경화반이다.일부는 실타래처럼 움직였다.

흉부하행 대동맥의 이면성 심애코-좌측은 단축상 1012시 방향으로 동맥경화반을 볼 수 있다.오른쪽은 장축상으로 막대 모양의 동맥경화반이 보인다.