본 블로그에 게재된 증례는 제가 직접 진료한 환자임을 명기해 두겠습니다.
외래를 살펴 보면 ‘체중 감소’ 증상은 상당히 신경이 쓰이는 증상입니다.
별 문제가 없는 경우가 많은데 숨겨진 암(cancer)이 있을지 고민하기 때문이죠.
오늘부터는 체중 감소를 유발하는 대표적 질환 3가지에 대해 말씀드리겠습니다.글을 읽으시는 분들께 조금이나마 도움이 되셨으면 좋겠습니다.
60대 후반의 남성 환자입니다
피곤하고 식욕도 없고, 최근 6개월 동안 체중 감소가 6~7kg 정도 있었다고 합니다.과거에 담낭염으로 인해 담낭 절제술을 받은 적이 있는 것 같습니다.
입덧, 소변을 자주 보는 증상도 없고, 두근거림, 더위 등의 증상도 없습니다.
위내시경(EGD), 대장내시경(CFS) 등 건강검진은 잘 받았고 최근 체중감소 문제로 담낭수술을 한 상급병원에서 CT촬영도 모두 하였으나 큰 문제는 없었다고 하더군요.
검사를 해보기로 했어요.
복부초음파 복부초음파상 큰 문제는 없었습니다 과거 담낭절제술로 인한 담도(CBD)가 조금 증가되기는 하였으나 수술 후 흔적소견이므로 정상소견입니다.

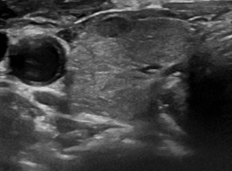
갑상선 초음파이기 때문에 갑상선 초음파를 봅니다만, 검사 전문의 진상 관련 증상이 명확하지 않았기 때문에 예상 밖의 소견이었습니다.
갑상선 표면이 고르지 못하고(Heterogenouse chogenicity) 혈관이 매우 발달되어 있습니다(hypervascularity).




초음파 소견만으로 갑상선 저하 항진인지는 정확한 구분은 어렵지만 갑상선 호르몬의 수치에 이상이 있는 것은 확실합니다.
갑상선 호르몬 수치를 추가로 확인하였습니다.
갑상샘 호르몬
생각보다 수치가 심했어요.
갑상선 자극 호르몬(TSH) <0.01>로 매우 낮고 갑상선 호르몬(ft4) 2.72로 증가되어 있으며 갑상선 기능 항진증 소견입니다.

갑상선 기능 항진증의 원인 중 갑상선 자가 항체에 의한 증상 여부를 확인하기 위해 추가 검사를 실시했습니다.

갑상선 항체 검사에서 TSH receptor Ab(TRAb, 갑상선 자극 호르몬 수용체 항체)가 증가하고 있습니다.
갑상선성 자극 항체에 의한 갑상선 기능 항진증, 그레이브스 병(Grave ‘s disease)입니다.
참고로 갑상선 항체 검사의 내용에 대해서는 아래 포스팅을 봐주시면 감사하겠습니다.https://blog.naver.com/enndoscopy/222316664943 갑상선 호르몬 수치에 이상이 있는 경우 자가 항체를 검사하게 됩니다. 자가항체에 대해 이전에 간략하게 언급했던 것이 blog.naver.com
2년 전 갑상선 호르몬 수치:정상치 환자는 2년 전 본원에서 실시한 갑상선 호르몬 수치에 대한 기록이 있었습니다.제가 1명의 검사가 아니기 때문에 이 검사를 왜 했는지 모르겠지만

보시다시피 호르몬 수치가 정상이었어요
불과 2년 전 검사가 정상이었음에도 불구하고 그 사이에 갑자기 갑상선 호르몬 수치가 이상했던 것은 특히 고령이고 일반적이지 않아 예상하기 힘들었던 것 같습니다.
그 후 경과환자는 메치마졸로 갑상선 항진증 치료를 시작하였으며,
1개월 후 피검사상

fT4는 1.65로 정상 범위 내에 들어 있으며 증상도 호전되는 경향이 있습니다.
TSH (갑상선 자극 호르몬)은 원래 정상화되기까지 좀 더 시간이 걸리기 때문에 이후 지속적으로 치료하면서 확인이 필요합니다.
오늘은 체중 감량으로 확인된 바세도우병의 증례였습니다.